Новини Дрогобич У Дрогобичі вперше на заході України провели унікальну операцію на легеневих артеріях
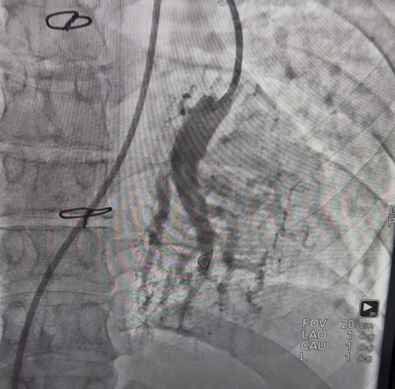
15 травня 2025 року в КНП «Дрогобицька міська лікарня №1» відбулася знакова подія: лікарі закладу спільно з польським кардіохірургом успішно провели балонну ангіопластику легеневих артерій молодому пацієнту з важкою формою хронічної тромбоемболічної легеневої гіпертензії. Про це повідомили у медустанові. Це — перша така операція у західному регіоні Україні.
У коментарі для DrogMedia, в Дрогобицькій міській лікарні пояснили, що у перебігу захворювання, яке найчастіше є наслідком нелікованої або неефективно лікованої тромбоемболії легеневої артерії, легеневі артерії блокуються організованими тромбами. Це призводить до погіршення насичення крові киснем легень. Пацієнти відчувають задишку та знижену толерантність до фізичного навантаження. На запущених стадіях захворювання призводить до тяжкої інвалідності.
Інтервенція стала можливою завдяки міжнародному партнерству з Сілезьким центром серцевих захворювань (Śląskie Centrum Chorób Serca) у місті Забже, Польща. Операцію проводили у співпраці з досвідченим фахівцем із Польщі Яцеком Пєґзою (Jacek Piegza), який поділився своїми знаннями й практикою з українськими колегами.
“Команда у складі Мар’яни Лепкої, Яцека Пеґзи та Василя Романяка виконала легеневу ангіопластику 33-річному пацієнту з хронічною тромбоемболічною легеневою гіпертензією на пізній стадії. У такій важкій стадії захворювання у нелікованих пацієнтів 5-річний ризик смерті становить 90%”, – розповіли у медустанові.

Балонна ангіопластика легеневих артерій — складна високотехнологічна процедура, яку застосовують у лікуванні пацієнтів із важкими порушеннями легеневого кровообігу. Успішне проведення такої операції — важливий крок у розвитку інтервенційної кардіології в регіоні та ще один доказ високої кваліфікації місцевих лікарів.
У лікарні підкреслюють: подібні проєкти — це не лише про медицину, а й про довіру, обмін досвідом і спільне прагнення рухатися вперед.
«Разом ми творимо медицину майбутнього», — зазначили в адміністрації медзакладу.
Читайте також: Медики Львова врятували жінку з пухлиною мозку на 30-му тижні вагітності





Залиште відповідь