Головний хірург Збройних Сил України полковник Костянтин Гуменюк. Колаж Сергія Поліщука / АрміяInform
Війна змушує медицину розвиватися швидше, ніж будь-які наукові програми.
Унікальна операція, нещодавно проведена головним хірургом Збройних Сил України полковником Костянтином Гуменюком, стала не лише прикладом професійної майстерності, а й кейсом, який уже привертає увагу міжнародної медичної спільноти. Про деталі втручання, ухвалені рішення та його значення для світової практики — в інтерв’ю.
Костянтин Гуменюк, головний хірург ЗСУ. Фото:Олена Худякова/АрміяInform
— Пане Костянтине, кожна операція на фронті чи в тилових госпіталях — це виклик. Чим саме цей випадок відрізнявся від вашої щоденної практики?
— Сучасна бойова травма — вона надзвичайно важка і складна. Має місце поранення декількох анатомічних ділянок, великі дефекти тканин, вогнепальні переломи кінцівок, їх відриви та масивна кровотеча, як зовнішня, так і внутрішня. Дуже часто надаючи необхідну допомогу пораненим, хірург має виконувати великі розрізи. Наприклад, поранення черевної порожнини та внутрішніх органів потребують великого розрізу-доступу, коли хірург робить лапаратомію, щоб отримати доступ до ушкоджених внутрішніх органів.
Військові хірурги Збройних Сил України саме при бойовій травмі живота вперше в світі впровадили лапароскопію та таракоскопію при бойовій травмі грудної клітки. За допомогою невеликих проколів та мікроінструментів виконується операція під візуальним контролем відеокамери, де операційне поле хірург бачить на екрані монітора.
Це приклад сучасної малоінвазивної хірургії. Напевно чимало ваших читачів чули, як виконуються такі операції, як видалення жовчного міхура, апендициту, пахових гриж саме методом лапароскопії. Такий метод в сучасній медицині вжє є традиційним.
Природно, що кожен пацієнт хоче, щоб на його тілі було мінімум розрізів. Адже мова іде як про косметичні результати, так і якість життя. Ми пішли далі — впровадили сучасну малоінвазивну хірургію для порятунку наших поранених.
В чому була унікальність випадку, який ми обговорюємо? У тому, що військовослужбовець, який поступив до нас, був з бойовою травмою живота. На полі бою його вибуховою хвилею відкинуло на декілька метрів. Він упав, були осколкові поранення нижніх кінцівок, йому надали першу медичну допомогу та евакуювали на вищий рівень з надання медичної допомоги.
Вже в госпіталі він відмітив біль в животі. При обстеженні ми виявили у нього велику гематому селезінки, що свідчило про її розрив унаслідок бойової травми живота. Ситуація потребувала негайного прийняття рішення, адже поранений міг загинути від кровотечі. Рішення швидке — готувати до операції і методом вибору стала малоінвазивна хірургія — лапароскопія.
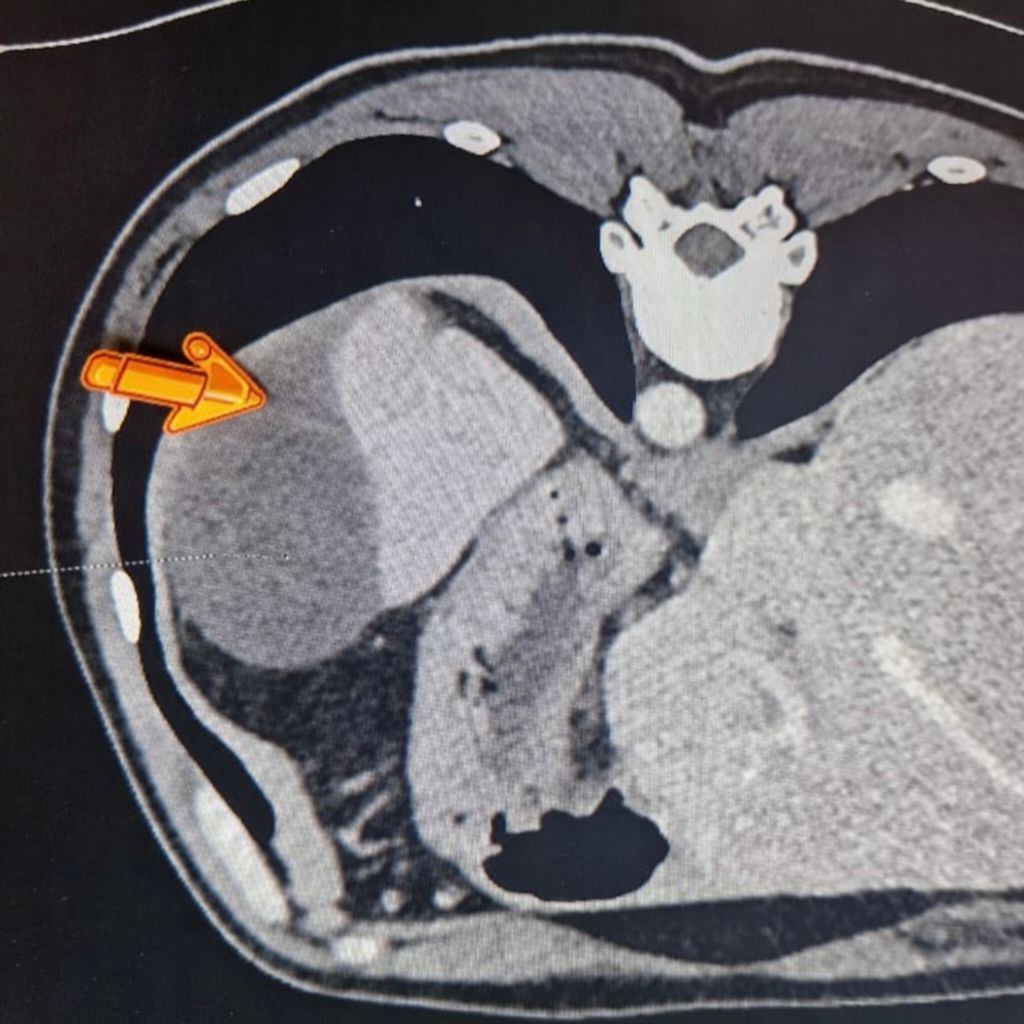
Дані спіральної комп’ютерної томографії показали розрив селезінки з формуванням великої гематоми. Фото: НВКМЦ
Така операція в госпіталі виконувалася вперше, і завдання, яке було переді мною як оперуючим хірургом видалити ушкоджений орган — селезінку та врятувати життя пацієнту. Безумовно, першим завжди складно і відчуття відповідальності було дуже сильним.
Проте злагоджена робота операційної бригади дозволила все зробити якісно та чітко. Післяопераційний період перебігав гладко, на наступний день цей поранений вже вставав, ходив самостійно, був активним. Сьогодні він вже на реабілітації.
— Як відбувалася підготовка до оперативного втручання? Чи залучали ви цивільних колег або іноземних фахівців для консультацій перед втручанням?
— Безумовно, підготовка до операції — це дуже важлива процедура. Ми виконали спіральну комп’ютерну томографію, що нам дозволило чітко побачити розмір цієї гематоми. І ми навіть знайшли той розрив селезінки на діафрагмальній поверхні, який призвів до такої кровотечі з формуванням гематоми.
Ми маємо досвід лікування сучасної бойової травми з 2014 року, безумовно всі складні рішення ухвалюються колегіально на консіліумах та мною, як головним хірургом ЗСУ. В даному клінічному випадку все вирішували самостійно в межах нашої компетенції.
— Яку роль у цій операції відіграло сучасне обладнання? Чи можемо ми говорити, що без специфічних інструментів (наприклад, мобільних рентген-апаратів C-дуги чи 3D-моделювання) цей успіх був би неможливим?
— Дуже актуальне питання, тому що всі сучасні малоінвазивні оперативні втручання, найновіші медичні маніпуляції потребують використання високоспеціалізованого обладнання.
Дійсно, Національний військово-медичний клінічний центр «ГВКГ» обладнаний сучасним високотехнологічним обладнанням. Це певний технічний ресурс медичного устаткування, який дозволяє впроваджувати та виконувати сучасні операції на Role-4.
Національний військово-медичний клінічний центр «ГВКГ» обладнаний сучасним високотехнологічним обладнанням. Фото: НВКМЦ
Проте ми наблизили лапароскопію до поранених і сьогодні на Role 2 є також відповідне обладнання для впровадження таких методик, і військові хірурги надають таку допомогу по чітко визначеним показанням до її застосування.
Але ви ж розумієте: має бути сучасне обладнання, сучасні інструменти, якими виконуються такі унікальні операції. Але і мають бути підготовлені фахівці. І досвід має бути. Тому що може бути обладнання, а не бути спеціаліста, який би виконав ці операції. І це є важливим у підготовці хірурга.
Тому гасло — роби як я і навіть краще — є актуальним. Треба навчати молодь: за ними майбутнє. Вони талановиті і навчаються швидко на війні, де їм передаємо свій досвід під час відряджень у прифронтові мобільні госпіталі, передові хірургічні групи та окремі медичні батальйони.
— Повертаючись, до певної міри військової термінології: хто входив до вашої операційної бригади. Хто був поруч із вами за операційним столом? Наскільки критичною була роль анестезіологів та медсестер у цьому конкретному «кейсі»?
— Так, ну ви знаєте, що дійсно це як у приказці — один у полі не воїн. Так і в хірургії. Працюємо спільно, злагодженою бригадою. Це — досвідчені лікарі-анестезіологи. Безумовно, треба, щоб була надзвичайно фахова операційна медична сестра і асистент.
Бригада медиків за операційним столом — єдине ціле, щоб рятувати життя пацієнта. Фото: НВКМЦ
Асистента, до речі, ми називаємо «камермен». (А у тележурналістів так називають телеоператора, — ред.). Така назва є всесвітньою. Тому що ця людина, яка технічно асистує, дуже допомагає і показує весь перебіг втручання із залученням відеокамери: від якості та професійності цієї роботи залежить те, як досконало і повноцінно хірург бачить під час операції весь її процес.
Тому злагоджена бригада — це надзвичайно важливо: камермен, операційна сестра, і досвідчений анестезіолог. Ми за операційним столом — єдине ціле, щоб рятувати життя пацієнта.
— І все таки, оцінюючи нині цю унікальну операцію, який, на вашу думку момент під час втручання був найбільш критичним, коли ситуація могла піти не за планом?
— Найскладнішим у цій конкретній ситуації був хірургічний доступ до великих кровоносних судин, до селезінкової артерії та вени, які треба виділити та кліпувати. Тому що, повертаючись до згаданої вами вище військової термінології, іноді я порівнюю роботу хірурга із сапером. Адже, як у вибухотехніка, який розміновує вибуховий пристрій, так і у нас: один невірний дотик і може виникнути… позаштатна ситуація з масивною кровотечею. М’яко кажучи.
Анатомія у кожної людини своя, виключно індивідуальна. Ми вчимося в університетах по атласах анатомічних, здається, вже досконало знаємо, яка має бути артерія, вена, де вона має бути. Але у кожної людини бувають свої індивідуальні особливості, хірург має бути професійним, щоб все це бачити та вірно приймати рішення.
І дійсно, під час даного оперативного втручання, саме таким критичним моментом було виділення селезінкової артерії і вени, їх кліпування для того, щоб видалити цей ушкоджений орган. Це було, повірте мені, одним із саме таких важливих моментів.
— Як зараз почувається пацієнт? Які прогнози щодо його реабілітації та повернення до повноцінного життя, а можливо і до служби?
— Він уже виписаний із госпіталю. Поїхав від нас у цілком задовільному стані на реабілітацію. Так, ми з ним постійно на контакті: за недавньою інформацією в нього все добре.
Відновлюється і ще буде мати відпустку. І, сподіваюсь, якщо він повністю швидко відновиться, і буде здатен завдяки сучасній операції повернутись у свій підрозділ.
— Давайте трошки узагальнимо цей ваш досвід. Які ключові хірургічні підходи або рішення дозволили досягти успіху в цій операції?
— Це відповідний план, який у мене був при виконанні цієї конкретної операції. Я враховував усі дані: від клінічних до лабораторних обстежень, інструментальних досліджень. Перед виконанням конкретного втручання чітко розумів про ступінь ушкодження селезінки, механізму її травмування та ступеню крововтрати.
Враховував які можуть бути ускладнення під час операції, та декілька варіантів її виконання. Адже має бути професійний підхід. Саме головне було бажання зробити сучасну нову операцію та врятувати життя пораненому.
— Чи стане цей унікальний досвід основою для нових протоколів лікування у Збройних Силах? Можливо, ви плануєте описувати цей випадок у наукових виданнях для навчання колег не тільки Сил оборони, цивільних хірургів та колег за кордоном?
— Ви знаєте, ми дуже широко ділимося нашими досягненнями і напрацюваннями в хірургії бойової травми. Публікуємося в Україні і за кордоном, представляємо власний досвід на міжнародних конференціях, ділимся з нашими партнерами про ті досягання, які ми маємо у напрямку малоінвазивної хірургії.
У тому числі — виконання таких унікальних операцій. Вони дійсно всі вражені, тому що такого, без перебільшення — бойового досвіду ні в кого немає. У жодної країни. Навіть у тих держав, які брали участь у військових операціях в Іраку чи Афганістані, інших локальних збройних конфліктах.
Адже лапароскопія і високотехнологічні операції, у пануючій більшості країн НАТО виконуються в дуже великих центрах і клініках. А ми, робимо такі втручання у мобільних госпіталях на Role — 2 в прифронтових зонах бойових дій. Повторюся: такого досвіду ні у кого немає, крім нас. Ми наблизили сучасну малоінвазивну хірургію до поранених.
Наші партнери здивовані нашим досвідом та результатами таких операцій. Адже лапароскопія та таракоскопія при бойовій травмі має у нас вже понад тисячу успішних операцій. Військові хірурги ЗСУ, так би мовити, пишуть довідники зі світової хірургії своїми досягненнями.
— Ви очолюєте хірургічну службу ЗСУ у надскладний час. Що дає вам сили особисто ставати до столу та виконувати такі філігранні операції, попри величезне адміністративне навантаження?
Знаєте, мабуть, що додає сил, так це оці позитивні результати: врятовані бійці сучасними операціями, які впроваджуємо. І коли ти бачиш цей результат, то він дуже надихає.
Адже поранений одужує завдяки новим методам лікування, де немає великих розрізів, а лише маленькі проколи, якість життя у них краще та відновлення після поранень відбуваються швидше, багато з них зможуть повернутись до своїх підрозділів та далі захищати Україну. Військові хірурги ЗСУ — тримають стрій!
Олег Мащенко
Кореспондент АрміяInform





Залиште відповідь