Нещасний випадок стався під час заготівлі дров: бензопила вислизнула з рук 37-річного мешканця Львівщини та майже повністю перерізала ліве передпліччя. Завдяки швидкій реакції дружини, яка наклала джгут, та оперативності медиків, чоловіка встигли доправити до лікарні. Про це повідомили у Першому медоб’єднанні Львова.
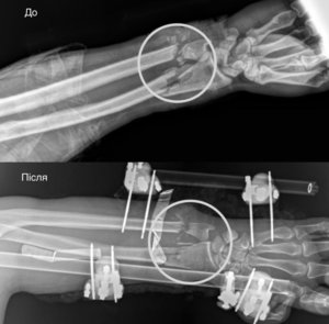
Медики зазначають, що травма була критичною: перерізані артерії, розтрощені кістки та пошкоджені нерви. Процес порятунку відбувався у кілька етапів:
- Ортопеди-травматологи стабілізували переломи за допомогою апарата зовнішньої фіксації.
- Судинні хірурги відновили кровопостачання, що стало вирішальним фактором для виживання тканин.
- Реконструктивні хірурги зшили сухожилля та виконали аутодермопластику — закрили дефект власною шкірою пацієнта.
«Без термінового відновлення кровообігу рука була б нежиттєздатною. Злагоджена робота нашої команди дала чоловікові шанс уникнути ампутації», – повідомив завідувач відділення судинної хірургії Андрій Мелень.
Зараз пацієнт проходить реабілітацію. Шкірний трансплантат успішно прижився, а до пальців поступово повертається чутливість та рухливість. Попереду на чоловіка чекає ще одна операція на нервах для повного відновлення функцій кінцівки.




Залиште відповідь